Case Studies
Real-world examples demonstrating the diagnostic precision and clinical utility of DentalVision AI.

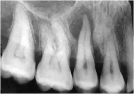
Early Interproximal Caries Detection
The Challenge
Incipient lesion on distal of #14 missed by initial visual inspection due to tight contact point.
AI Finding
DentalVision AI flagged a 0.85 confidence radiolucency in the enamel-dentin junction.
Clinical Outcome
Minimally invasive resin infiltration performed, preventing root canal therapy. Patient reported zero sensitivity at 6-month follow-up.

Periapical Pathology Identification
The Challenge
Patient presented with vague pain in lower right quadrant. Standard bitewings were inconclusive.
AI Finding
AI analysis of periapical radiograph highlighted a 3mm radiolucency at the apex of #30.
Clinical Outcome
Endodontic treatment initiated promptly. Infection resolved within 2 weeks.

Impacted Third Molar Assessment
The Challenge
Determining proximity of impacted #32 roots to the inferior alveolar nerve.
AI Finding
Segmentation model outlined root tips with <1mm proximity warning to nerve canal.
Clinical Outcome
Surgical approach modified to coronectomy, avoiding nerve injury risk.
Ready to enhance your diagnostic precision?
Join thousands of clinicians using DentalVision AI to improve patient outcomes.